Хвороби наднирників

 Сучасне та комплексне лікування   сьогодні доступне в  Чернівцях.

Наднирники: що це таке і навіщо вони потрібні?

Наднирники — це два невеликі органи, які розташовані над нирками. Незважаючи на маленький розмір, вони відіграють дуже важливу роль у роботі всього організму.

Наднирники виробляють гормони, які:

  • регулюють артеріальний тиск;

  • допомагають організму реагувати на стрес;

  • впливають на рівень цукру в крові;

  • контролюють водно-сольовий баланс;

  • беруть участь у регуляції обміну речовин.

 

 

Захворювання наднирників: основні причини та симптоми

 

Пухлина наднирника: на що звернути увагу

Найчастіше в наднирниках можуть утворюватися пухлини. Більшість із них є доброякісними, але деякі виробляють надлишок гормонів і можуть викликати серйозні симптоми.

Можливі прояви:

  • постійно підвищений артеріальний тиск;

  • серцебиття, пітливість, напади тривоги;

  • різке збільшення маси тіла;

  • слабкість у м’язах;

  • підвищений рівень цукру в крові.

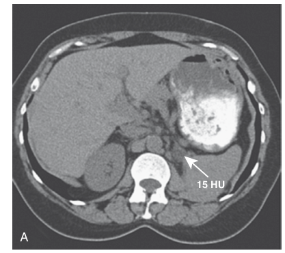
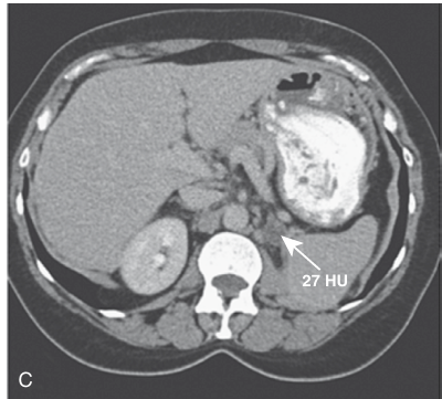
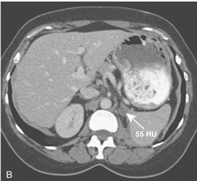
Діагностика захворювань наднирників

Для уточнення діагнозу лікар може призначити:

  • аналізи крові та сечі на гормони;

  • УЗД;

  • комп’ютерну томографію (КТ);

  • магнітно-резонансну томографію (МРТ).

Ці обстеження допомагають зрозуміти, чи виробляє пухлина гормони та чи є потреба в операції.


Коли потрібна операція на наднирнику (адреналектомія)

Операція з видалення наднирника або його частини називається адреналектомією.

Показання до операції:

  • пухлина виробляє гормони;

  • розмір утворення перевищує безпечні значення;

  • є підозра на злоякісний процес;

  • пухлина швидко росте;

  • симптоми значно погіршують якість життя.

Лабораторні показники при захворюваннях наднирників

Нижче наведена зручна таблиця аналізів із нормами та можливими відхиленнями. Вона допомагже вам зрозуміти результати обстежень перед консультацією лікаря.


Вам важливо знати 

  • Норми можуть дещо відрізнятися залежно від лабораторії

  • Аналізи завжди оцінюються у комплексі, а не окремо

  • Остаточний діагноз встановлює лікар після лабораторних та інструментальних обстеженьм

Як проходить операція на наднирнику

Сучасний підхід — лапароскопічна операція

У більшості випадків операція виконується лапароскопічно, тобто через кілька маленьких розрізів.

Переваги такого методу:

  • менший біль після операції;

  • мінімальні рубці;

  • швидше відновлення;

  • коротший період перебування в лікарні.

Під час операції лікар обережно відокремлює наднирник та видаляє його без значної травми навколишніх тканин.


Відновлення після адреналектомії

Після лапароскопічної адреналектомії:

  • пацієнт зазвичай встає вже наступного дня;

  • перебування в стаціонарі триває 2–4 дні;

  • повернення до звичайного життя можливе через 1–2 тижні.

У деяких випадках може знадобитися тимчасовий або постійний прийом гормональних препаратів — це визначає лікар індивідуально.


Можливі ускладнення після операції

Як і будь-яке хірургічне втручання, адреналектомія має певні ризики, але при сучасних методах вони мінімальні:

  • кровотеча;

  • зниження артеріального тиску;

  • тимчаска слабкість або запаморочення.

Більшість пацієнтів переносять операцію добре.

Прогноз після видалення наднирника

У переважній більшості випадків після видалення пухлини:

  • нормалізується артеріальний тиск;

  • зникають неприємні симптоми;

  • значно покращується якість життя.

Часті запитання 

Чи можна жити з одним наднирником?
Так. Один здоровий наднирник повністю бере на себе функції обох.

Чи завжди потрібна операція при пухлині наднирника?
Ні. Якщо пухлина невелика і не виробляє гормони, можливе лише спостереження.

Чи небезпечна адреналектомія?
При сучасних лапароскопічних методах ризики мінімальні, а відновлення швидке.

Коли звернутися до лікаря терміново?
При різкому підвищенні тиску, нападах серцебиття, сильній слабкості або різкому погіршенні самопочуття.

Захворювання наднирників добре піддаються лікуванню, особливо при своєчасному зверненні до лікаря. Сучасна лапароскопічна адреналектомія є безпечною та ефективною операцією з швидким відновленням.

📌 Якщо у вас виявили утворення наднирника — не зволікайте з консультацією спеціаліста.

Уролог Липка Василь Тарасович

Вам потрібна кваліфікована допомога при урологічних захворюваннях у Чернівцях? Звертайтеся до лікаря уролога Василя Тарасовича Липки. Лікар проводить фахові консультації для дорослих та дітей з метою огляду та діагностики, амбулаторного та стаціонарного лікування для пацієнтів із скаргами на роботу зі сторони сечовидільної та сечостатевої системи. Пропонує тільки ефективне лікування для найшвидшого поліпшення вашого здоров`я.

5,0
5,0 з 5 зірок (на основі 24 відгуків)
Відмінно100%
Дуже добре0%
Середнє0%
Погано0%
Жахливо0%